Ostatnie lata to okres dynamicznego rozwoju w zakresie leczenia wewnątrznaczyniowego zakrzepic żylnych i ich powkłań, takich jak zatorowość płucna czy zespół pozakrzepowy. Trombektomia farmako-mechaniczna i implantacja stentów dedykowanych do naczyń żylnych to nowe podejście do leczenia zaburzeń odpływu żylnego w segmencie biodrowo-udowym.

Najczęstszą przyczyną zasklepienia światła naczynia żylnego jest zakrzepica. Skrzeplina rozwijająca się początkowo przyściennie ulega tzw. propagacji zwykle aż do momentu całkowitego zamknięcia światła naczynia żylnego. Istnieją również inne rzadsze przyczyny obturacji pni żylnych, wywołane czynnikami zewnętrznymi. Są to tzw. żylne zespoły uciskowe. Wśród nich najczęściej spotykamy niekorzystny układ tętnicy w stosunku do plastycznej żyły lub nacieki nowotworowe czy przerzutowo zmienione (powiększone) węzły chłonne, które uciskają światło przebiegających w ich sąsiedztwie pni żylnych. W populacji osób starszych widywane są równie często tętniaki, które na początku skutecznie modelują, a później uciskają główne naczynia żylne w jamie brzusznej czy miednicy małej. 

Implantacja stentów żylnych (specjalnie zaprojektowanych dla tego typu naczyń) umożliwia leczenie zarówno stanów ostrych (np. ostrych zakrzepic biodrowo-udowych), podostrych, jak i przewlekłych form (np. pozakrzepowo zmienionych żył biodrowych w przebiegu zespołu May-Thurnera).

Zakrzepice zlokalizowane w segmencie biodrowo-udowym, bądź ciężkie zespoły pozakrzepowe, stanowią szczególne wskazania do założenia stentów dedykowanych do naczyń żylnych. Przywrócenie drożności głównego odpływu krwi żylnej z nogi oraz miednicy małej znacznie niweluje objawy zespołu pozakrzepowego, poprawiając natychmiast komfort życia pacjenta. U osób z niegojącymi się owrzodzeniami żylnymi goleni zabieg stentowania żył umożliwia ich stałe wyleczenie. Ten efekt nierzadko jest trudny do osiągnięcia przy użyciu kompresjoterapii, nawet tej wielowarstwowej.

W ostrej fazie zakrzepicy (do 2 tygodni od jej wystąpienia) stent żylny wstawiany jest do naczynia po uprzednim udrożnieniu jego światła, współcześnie najczęściej przy użyciu systemu do trombektomii chemiczno-mechanicznej. Tego typu zabiegi wykonywane są w warunkach szpitalnych na specjalnie do tego przystosowanych salach zabiegowych. Radiolodzy interwencyjni z naszego zespołu wykonują zabiegi stentowania żył w warunkach Szpitala Medicover w Warszawie (dzielnica Wilanów).

Zespół May-Thurnera. Stentowanie.

Stan po stentowaniu lewego spływu biodrowego w przebiegu zespołu May-Thurnera.

Typowe wskazania do zabiegu stentowania żył segmentu biodrowo-udowego to:

  • przebyta zakrzepica żył głębokich w odcinku biodrowo-udowym
  • nawrót zakrzepicy w segmencie biodrowo-udowym
  • jawny klinicznie zespół pozakrzepowy
  • zespół uciskowy spływu żylnego miednicy jawny klinicznie (np. zespół May-Thurnera)
  • zakrzepica biodrowo-udowa wtórna do ucisku z zewnątrz (np. wskutek nacieku nowotworowego)

Pacjenci są kwalifikowani do zabiegu stentowania żył zawsze po wykonaniu badań dopplerowskich z pełną oceną układu żył kończyn dolnych, żył miednicy małej i jamy brzusznej (żył biodrowych wspólnych, zewnętrznych i wewnętrznych oraz żyły głównej dolnej). Procedura kwalifikacyjna poszerzana jest często o ocenę naczyń żylnych tzw. wenografii, czyli obrazowaniu, które wykorzystuje wielowarstwową tomografię komputerową (CTV) lub zjawisko rezonansu magnetycznego (MRV).

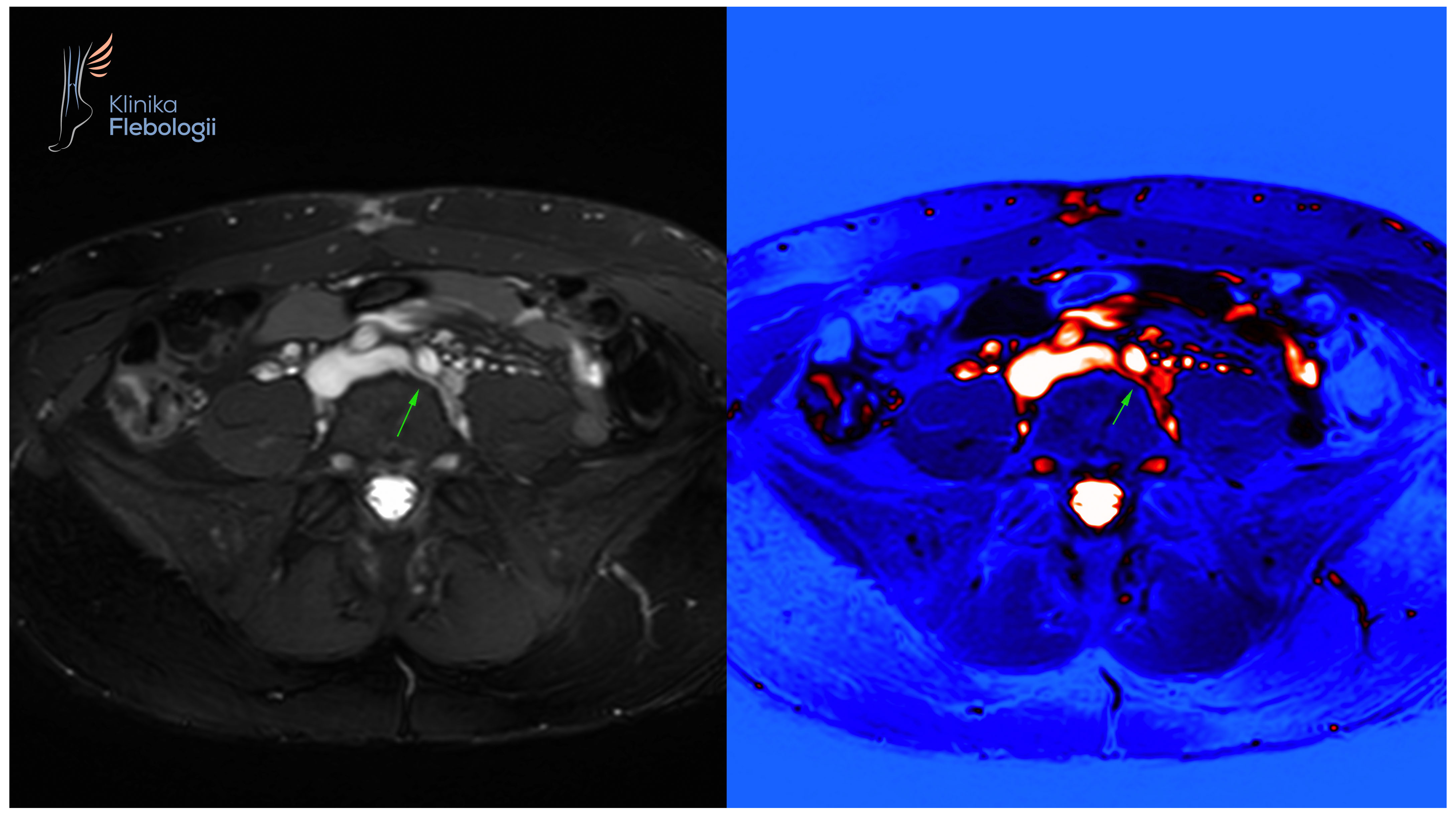
Rzadka postać żylnego zespołu uciskowego na poziomie spływu lewej żyły biodrowej wspólnej.

W najtrudniejszych przypadkach, w warunkach szpitalnych, wykonywane są inne badania diagnostyczne, takie jak flebografia czy ultrasonografia wewnątrznaczyniowa (IVUS). Zaletą tej ostatniej metody jest precyzyjna ocena naczyń żylnych od wewnątrz przy użyciu sondy emitującej bezpieczne dla zdrowia ultradźwięki. IVUS wespół z flebografią stanowią obecnie złoty standard przy implantacji stentów dedykowanych do naczyń żylnych.

CENA ZABIEGU STENTOWANIA ŻYŁ: od 16 400 zł

Opinie pacjentów